Personality psychology is a branch of psychology that examines personality and its variation among individuals. It aims to show how people are individually different due to psychological forces.[1] Its areas of focus include:

  • Describing what personality is
  • Documenting how personalities develop
  • Explaining the mental processes of personality and how they affect functioning
  • Providing a framework for understanding individuals[2]

"Personality" is a dynamic and organized set of characteristics possessed by an individual that uniquely influences their environment, cognition, emotions, motivations, and behaviors in various situations. The word personality originates from the Latin persona, which means "mask".

Personality also pertains to the pattern of thoughts, feelings, social adjustments, and behaviors persistently exhibited over time that strongly influences one's expectations, self-perceptions, values, and attitudes.[2] Personality also predicts human reactions to other people, problems, and stress.[3][4] Gordon Allport (1937) described two major ways to study personality: the nomothetic and the idiographic. Nomothetic psychology seeks general laws that can be applied to many different people, such as the principle of self-actualization or the trait of extraversion. Idiographic psychology is an attempt to understand the unique aspects of a particular individual.

The study of personality has a broad and varied history in psychology, with an abundance of theoretical traditions. The major theories include dispositional (trait) perspective, psychodynamic, humanistic, biological, behaviorist, evolutionary, and social learning perspective. Many researchers and psychologists do not explicitly identify themselves with a certain perspective and instead take an eclectic approach. Research in this area is empirically driven – such as dimensional models, based on multivariate statistics such as factor analysis – or emphasizes theory development, such as that of the psychodynamic theory. There is also a substantial emphasis on the applied field of personality testing. In psychological education and training, the study of the nature of personality and its psychological development is usually reviewed as a prerequisite to courses in abnormal psychology or clinical psychology.

Philosophical assumptions

Many of the ideas conceptualized by historical and modern personality theorists stem from the basic philosophical assumptions they hold. The study of personality is not a purely empirical discipline, as it brings in elements of art, science, and philosophy to draw general conclusions. The following five categories are some of the most fundamental philosophical assumptions on which theorists disagree:[5]

  • Freedom versus determinism – This is the question of whether humans have control over their own behavior and understand the motives behind it, or if their behavior is causally determined by forces beyond their control. Behavior is categorized as being either unconscious, environmental or biological by various theories.[5]
  • Heredity (nature) versus environment (nurture) – Personality is thought to be determined largely either by genetics and biology, or by environment and experiences. Contemporary research suggests that most personality traits are based on the joint influence of genetics and environment. One of the forerunners in this arena is C. Robert Cloninger, who pioneered the Temperament and Character model.[5]
  • Uniqueness versus universality – This question discusses the extent of each human's individuality (uniqueness) or similarity in nature (universality). Gordon Allport, Abraham Maslow, and Carl Rogers were all advocates of the uniqueness of individuals. Behaviorists and cognitive theorists, in contrast, emphasize the importance of universal principles, such as reinforcement and self-efficacy.[5]
  • Active versus reactive – This question explores whether humans primarily act through individual initiative (active) or through outside stimuli. Traditional behavioral theorists typically believed that humans are passively shaped by their environments, whereas humanistic and cognitive theorists believe that humans play a more active role.[5] Most modern theorists agree that both are important, with aggregate behavior being primarily determined by traits and situational factors being the primary predictor of behavior in the short term.[6][7][8]
  • Optimistic versus pessimistic – Personality theories differ with regard to whether humans are integral in the changing of their own personalities. Theories that place a great deal of emphasis on learning are often more optimistic than those that do not.[5]

Personality theories

Type and trait theories

Behavioral and psychological characteristics distinguishing introversion and extraversion, which are generally conceived as lying along a continuum

Personality type refers to the psychological classification of people into different classes. Personality types are distinguished from personality traits, which come in different degrees. For example, according to type theories, there are two types of people, introverts and extroverts. According to trait theories, introversion and extroversion are part of a continuous dimension with many people in the middle.

Personality is complex; a typical theory of personality contains several propositions or sub-theories, often growing over time as more psychologists explore the theory.[9]

The most widely accepted empirical model of durable, universal personality descriptors is the system of Big Five personality traits: conscientiousness, agreeableness, neuroticism, openness to experience, and extraversion-introversion. It is based on cluster analysis of verbal descriptions in self-reporting surveys. These traits demonstrate considerable genetic heritability.

Perhaps the most ancient attempt at personality psychology is the personality typology outlined by the Indian Buddhist Abhidharma schools. This typology mostly focuses on negative personal traits (greed, hatred, and delusion) and the corresponding positive meditation practices used to counter those traits.

An influential European tradition of psychological types originated in the theoretical work of Carl Jung,[10] specifically in his 1921 book Psychologische Typen (Psychological Types) and William Marston.[11]

Building on the writings and observations of Jung during World War II, Isabel Briggs Myers and her mother, Katharine C. Briggs, delineated personality types by constructing the Myers–Briggs Type Indicator.[12][13] This model was later used by David Keirsey with a different understanding from Jung, Briggs and Myers.[14]

In the former Soviet Union, Lithuanian Aušra Augustinavičiūtė independently derived a model of personality type from Jung's called socionics. Later on many other tests were developed on this model e.g. Golden, PTI-Pro and JTI.

Theories could also be considered an "approach" to personality or psychology and is generally referred to as a model. The model is an older and more theoretical approach to personality, accepting extroversion and introversion as basic psychological orientations in connection with two pairs of psychological functions:

  • Perceiving functions: sensing and intuition (trust in concrete, sensory-oriented facts vs. trust in abstract concepts and imagined possibilities)
  • Judging functions: thinking and feeling (basing decisions primarily on logic vs. deciding based on emotion).

Briggs and Myers also added another personality dimension to their type indicator to measure whether a person prefers to use a judging or perceiving function when interacting with the external world. Therefore, they included questions designed to indicate whether someone wishes to come to conclusions (judgement) or to keep options open (perception).[12]

This personality typology has some aspects of a trait theory: it explains people's behavior in terms of opposite fixed characteristics. In these more traditional models, the sensing/intuition preference is considered the most basic, dividing people into "N" (intuitive) or "S" (sensing) personality types. An "N" is further assumed to be guided either by thinking or feeling and divided into the "NT" (scientist, engineer) or "NF" (author, humanitarian) temperament. An "S", in contrast, is assumed to be guided more by the judgment/perception axis and thus divided into the "SJ" (guardian, traditionalist) or "SP" (performer, artisan) temperament. These four are considered basic, with the other two factors in each case (including always extraversion/introversion) less important. Critics of this traditional view have observed that the types can be quite strongly stereotyped by professions (although neither Myers nor Keirsey engaged in such stereotyping in their type descriptions),[12] and thus may arise more from the need to categorize people for purposes of guiding their career choice.[15] This among other objections led to the emergence of the five-factor view, which is less concerned with behavior under work conditions and more concerned with behavior in personal and emotional circumstances. (The MBTI is not designed to measure the "work self", but rather what Myers and McCaulley called the "shoes-off self."[16])

Type A and Type B personality theory: During the 1950s, Meyer Friedman and his co-workers defined what they called Type A and Type B behavior patterns. They theorized that intense, hard-driving Type A personalities had a higher risk of coronary disease because they are "stress junkies." Type B people, on the other hand, tended to be relaxed, less competitive, and lower in risk. There was also a Type AB mixed profile.

Eduard Spranger's personality-model, consisting of six (or, by some revisions, 6 +1) basic types of value attitudes, described in his book Types of Men (Lebensformen; Halle (Saale): Niemeyer, 1914; English translation by P. J. W. Pigors - New York: G. E. Stechert Company, 1928).

The Enneagram of Personality, a model of human personality which is principally used as a typology of nine interconnected personality types. It has been criticized as being subject to interpretation, making it difficult to test or validate scientifically.

John L. Holland's RIASEC vocational model, commonly referred to as the Holland Codes, focuses specifically on choice of occupation. It proposes that six personality types lead people to choose their career paths. In this circumplex model, the six types are represented as a hexagon, with adjacent types more closely related than those more distant. The model is widely used in vocational counseling.

Psychoanalytical theories

Psychoanalytic theories explain human behavior in terms of the interaction of various components of personality. Sigmund Freud was the founder of this school of thought. He drew on the physics of his day (thermodynamics) to coin the term psychodynamics. Based on the idea of converting heat into mechanical energy, Freud proposed psychic energy could be converted into behavior. His theory places central importance on dynamic, unconscious psychological conflicts.[17]

Freud divides human personality into three significant components: the id, ego and super-ego. The id acts according to the pleasure principle, demanding immediate gratification of its needs regardless of external environment; the ego then must emerge in order to realistically meet the wishes and demands of the id in accordance with the outside world, adhering to the reality principle. Finally, the superego (conscience) inculcates moral judgment and societal rules upon the ego, thus forcing the demands of the id to be met not only realistically but morally. The superego is the last function of the personality to develop, and is the embodiment of parental/social ideals established during childhood. According to Freud, personality is based on the dynamic interactions of these three components.[18][19]

The channeling and release of sexual (libidal) and aggressive energies, which ensues from the "Eros" (sex; instinctual self-preservation) and "Thanatos" (death; instinctual self-annihilation) drives respectively, are major components of his theory.[18] Freud's broad understanding of sexuality included all kinds of pleasurable feelings experienced by the human body.

Freud proposed five psychosexual stages of personality development. He believed adult personality is dependent upon early childhood experiences and largely determined by age five.[18] Fixations that develop during the infantile stage contribute to adult personality and behavior.[19]

One of Sigmund Freud's earlier associates, Alfred Adler, agreed with Freud that early childhood experiences are important to development, and believed birth order may influence personality development. Adler believed that the oldest child was the individual who would set high achievement goals in order to gain attention lost when the younger siblings were born. He believed the middle children were competitive and ambitious. He reasoned that this behavior was motivated by the idea of surpassing the firstborn's achievements. He added, however, that the middle children were often not as concerned about the glory attributed to their behavior. He also believed the youngest would be more dependent and sociable. Adler finished by surmising that an only child loves being the center of attention and matures quickly but in the end fails to become independent.[20]

Heinz Kohut thought similarly to Freud's idea of transference. He used narcissism as a model of how people develop their sense of self. Narcissism is the exaggerated sense of self in which one is believed to exist in order to protect one's low self-esteem and sense of worthlessness. Kohut had a significant impact on the field by extending Freud's theory of narcissism and introducing what he called the 'self-object transferences' of mirroring and idealization. In other words, children need to idealize and emotionally "sink into" and identify with the idealized competence of admired figures such as parents or older siblings. They also need to have their self-worth mirrored by these people. Such experiences allow them to thereby learn the self-soothing and other skills that are necessary for the development of a healthy sense of self.

Another important figure in the world of personality theory is Karen Horney. She is credited with the development of "Feminist Psychology". She disagrees with Freud on some key points, one being that women's personalities are not just a function of "Penis Envy", but that girl children have separate and different psychic lives unrelated to how they feel about their fathers or primary male role models. She talks about three basic Neurotic needs "Basic Anxiety", "Basic Hostility" and "Basic Evil". She posits that to any anxiety an individual experiences they would have one of three approaches, moving toward people, moving away from people or moving against people. It is these three that give us varying personality types and characteristics. She also places a high premium on concepts like Overvaluation of Love and romantic partners.

Behaviorist theories

Behaviorists explain personality in terms of the effects external stimuli have on behavior. The approaches used to evaluate the behavioral aspect of personality are known as behavioral theories or learning-conditioning theories. These approaches were a radical shift away from Freudian philosophy. One of the major tenets of this concentration of personality psychology is a strong emphasis on scientific thinking and experimentation. This school of thought was developed by B. F. Skinner who put forth a model which emphasized the mutual interaction of the person or "the organism" with its environment. Skinner believed children do bad things because the behavior obtains attention that serves as a reinforcer. For example: a child cries because the child's crying in the past has led to attention. These are the response, and consequences. The response is the child crying, and the attention that child gets is the reinforcing consequence. According to this theory, people's behavior is formed by processes such as operant conditioning. Skinner put forward a "three term contingency model" which helped promote analysis of behavior based on the "Stimulus - Response - Consequence Model" in which the critical question is: "Under which circumstances or antecedent 'stimuli' does the organism engage in a particular behavior or 'response', which in turn produces a particular 'consequence'?"[21]

Richard Herrnstein extended this theory by accounting for attitudes and traits. An attitude develops as the response strength (the tendency to respond) in the presences of a group of stimuli become stable. Rather than describing conditionable traits in non-behavioral language, response strength in a given situation accounts for the environmental portion. Herrstein also saw traits as having a large genetic or biological component, as do most modern behaviorists.[21]

Ivan Pavlov is another notable influence. He is well known for his classical conditioning experiments involving dogs, which led him to discover the foundation of behaviorism.[21]

Social cognitive theories

In cognitive theory, behavior is explained as guided by cognitions (e.g. expectations) about the world, especially those about other people. Cognitive theories are theories of personality that emphasize cognitive processes, such as thinking and judging.

Albert Bandura, a social learning theorist suggested the forces of memory and emotions worked in conjunction with environmental influences. Bandura was known mostly for his "Bobo doll experiment". During these experiments, Bandura video taped a college student kicking and verbally abusing a bobo doll. He then showed this video to a class of kindergarten children who were getting ready to go out to play. When they entered the play room, they saw bobo dolls, and some hammers. The people observing these children at play saw a group of children beating the doll. He called this study and his findings observational learning, or modeling.[19]

Early examples of approaches to cognitive style are listed by Baron (1982).[22] These include Witkin's (1965) work on field dependency, Gardner's (1953) discovering people had consistent preference for the number of categories they used to categorize heterogeneous objects, and Block and Petersen's (1955) work on confidence in line discrimination judgments. Baron relates early development of cognitive approaches of personality to ego psychology. More central to this field have been:

  • Attributional style theory[23] dealing with different ways in which people explain events in their lives. This approach builds upon locus of control, but extends it by stating we also need to consider whether people attribute to stable causes or variable causes, and to global causes or specific causes.

Various scales have been developed to assess both attributional style and locus of control. Locus of control scales include those used by Rotter and later by Duttweiler, the Nowicki and Strickland (1973) Locus of Control Scale for Children and various locus of control scales specifically in the health domain, most famously that of Kenneth Wallston and his colleagues, The Multidimensional Health Locus of Control Scale.[24] Attributional style has been assessed by the Attributional Style Questionnaire,[25] the Expanded Attributional Style Questionnaire,[26] the Attributions Questionnaire,[27] the Real Events Attributional Style Questionnaire[28] and the Attributional Style Assessment Test.[29]

  • Achievement style theory focuses upon identification of an individual's Locus of Control tendency, such as by Rotter's evaluations, and was found by Cassandra Bolyard Whyte to provide valuable information for improving academic performance of students.[30] Individuals with internal control tendencies are likely to persist to better academic performance levels, presenting an achievement personality, according to Cassandra B. Whyte.[30]

Recognition that the tendency to believe that hard work and persistence often results in attainment of life and academic goals has influenced formal educational and counseling efforts with students of various ages and in various settings since the 1970s research about achievement.[31] Counseling aimed toward encouraging individuals to design ambitious goals and work toward them, with recognition that there are external factors that may impact, often results in the incorporation of a more positive achievement style by students and employees, whatever the setting, to include higher education, workplace, or justice programming.[31][32]

Walter Mischel (1999) has also defended a cognitive approach to personality. His work refers to "Cognitive Affective Units", and considers factors such as encoding of stimuli, affect, goal-setting, and self-regulatory beliefs. The term "Cognitive Affective Units" shows how his approach considers affect as well as cognition.

Cognitive-Experiential Self-Theory (CEST) is another cognitive personality theory. Developed by Seymour Epstein, CEST argues that humans operate by way of two independent information processing systems: experiential system and rational system. The experiential system is fast and emotion-driven. The rational system is slow and logic-driven. These two systems interact to determine our goals, thoughts, and behavior.[33]

Personal construct psychology (PCP) is a theory of personality developed by the American psychologist George Kelly in the 1950s. Kelly's fundamental view of personality was that people are like naive scientists who see the world through a particular lens, based on their uniquely organized systems of construction, which they use to anticipate events. But because people are naive scientists, they sometimes employ systems for construing the world that are distorted by idiosyncratic experiences not applicable to their current social situation. A system of construction that chronically fails to characterize and/or predict events, and is not appropriately revised to comprehend and predict one's changing social world, is considered to underlie psychopathology (mental disorders.)[34] From the theory, Kelly derived a psychotherapy approach and also a technique called The Repertory Grid Interview that helped his patients to uncover their own "constructs" with minimal intervention or interpretation by the therapist. The repertory grid was later adapted for various uses within organizations, including decision-making and interpretation of other people's world-views.[35]

Humanistic theories

Humanistic psychology emphasizes that people have free will and that this plays an active role in determining how they behave. Accordingly, humanistic psychology focuses on subjective experiences of persons as opposed to forced, definitive factors that determine behavior.[36] Abraham Maslow and Carl Rogers were proponents of this view, which is based on the "phenomenal field" theory of Combs and Snygg (1949).[37] Rogers and Maslow were among a group of psychologists that worked together for a decade to produce the Journal of Humanistic Psychology. This journal was primarily focused on viewing individuals as a whole, rather than focusing solely on separate traits and processes within the individual.

Robert W. White wrote the book The Abnormal Personality that became a standard text on abnormal psychology. He also investigated the human need to strive for positive goals like competence and influence, to counterbalance the emphasis of Freud on the pathological elements of personality development.[38]

Maslow spent much of his time studying what he called "self-actualizing persons", those who are "fulfilling themselves and doing the best they are capable of doing". Maslow believes all who are interested in growth move towards self-actualizing (growth, happiness, satisfaction) views. Many of these people demonstrate a trend in dimensions of their personalities. Characteristics of self-actualizers according to Maslow include the four key dimensions:[39]

  1. Awareness – maintaining constant enjoyment and awe of life. These individuals often experienced a "peak experience". He defined a peak experience as an "intensification of any experience to the degree there is a loss or transcendence of self". A peak experience is one in which an individual perceives an expansion of themselves, and detects a unity and meaningfulness in life. Intense concentration on an activity one is involved in, such as running a marathon, may invoke a peak experience.
  2. Reality and problem centered – having a tendency to be concerned with "problems" in surroundings.
  3. Acceptance/Spontaneity – accepting surroundings and what cannot be changed.
  4. Unhostile sense of humor/democratic – do not take kindly to joking about others, which can be viewed as offensive. They have friends of all backgrounds and religions and hold very close friendships.

Maslow and Rogers emphasized a view of the person as an active, creative, experiencing human being who lives in the present and subjectively responds to current perceptions, relationships, and encounters.[19] They disagree with the dark, pessimistic outlook of those in the Freudian psychoanalysis ranks, but rather view humanistic theories as positive and optimistic proposals which stress the tendency of the human personality toward growth and self-actualization.[19] This progressing self will remain the center of its constantly changing world; a world that will help mold the self but not necessarily confine it. Rather, the self has opportunity for maturation based on its encounters with this world. This understanding attempts to reduce the acceptance of hopeless redundancy. Humanistic therapy typically relies on the client for information of the past and its effect on the present, therefore the client dictates the type of guidance the therapist may initiate. This allows for an individualized approach to therapy. Rogers found patients differ in how they respond to other people. Rogers tried to model a particular approach to therapy – he stressed the reflective or empathetic response. This response type takes the client's viewpoint and reflects back their feeling and the context for it. An example of a reflective response would be, "It seems you are feeling anxious about your upcoming marriage". This response type seeks to clarify the therapist's understanding while also encouraging the client to think more deeply and seek to fully understand the feelings they have expressed.

Biopsychological theories

A large iron rod was driven through Gage's head, resulting in a personality change.
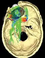
False-color represent­tations of cere­bral fiber path­ways affect­ed in Phineas Gage's accident, per Van Horn et al.

Biology plays a very important role in the development of personality. The study of the biological level in personality psychology focuses primarily on identifying the role of genetic determinants and how they mold individual personalities.[40] Some of the earliest thinking about possible biological bases of personality grew out of the case of Phineas Gage. In an 1848 accident, a large iron rod was driven through Gage's head, and his personality apparently changed as a result, although descriptions[41] of these psychological changes are usually exaggerated.[42][43]

In general, patients with brain damage have been difficult to find and study. In the 1990s, researchers began to use electroencephalography (EEG), positron emission tomography (PET), and more recently functional magnetic resonance imaging (fMRI), which is now the most widely used imaging technique to help localize personality traits in the brain. This line of research has led to the developing field of personality neuroscience, which uses neuroscientific methods to study the neural underpinnings of personality traits.

Genetic basis of personality

Ever since the Human Genome Project allowed for a much more in depth comprehension of genetics, there has been an ongoing controversy involving heritability, personality traits, and environmental vs. genetic influence on personality. The human genome is known to play a role in the development of personality.

Previously, genetic personality studies focused on specific genes correlating to specific personality traits. Today's view of the gene-personality relationship focuses primarily on the activation and expression of genes related to personality and forms part of what is referred to as behavioral genetics. Genes provide numerous options for varying cells to be expressed; however, the environment determines which of these are activated. Many studies have noted this relationship in varying ways in which our bodies can develop, but the interaction between genes and the shaping of our minds and personality is also relevant to this biological relationship.[44]

DNA-environment interactions are important in the development of personality because this relationship determines what part of the DNA code is actually made into proteins that will become part of an individual. While different choices are made available by the genome, in the end, the environment is the ultimate determinant of what becomes activated. Small changes in DNA in individuals are what leads to the uniqueness of every person as well as differences in looks, abilities, brain functioning, and all the factors that culminate to develop a cohesive personality.[45]

Cattell and Eysenck have proposed that genetics have a powerful influence on personality. A large part of the evidence collected linking genetics and the environment to personality have come from twin studies. This "twin method" compares levels of similarity in personality using genetically identical twins. One of the first of these twin studies measured 800 pairs of twins, studied numerous personality traits, and determined that identical twins are most similar in their general abilities. Personality similarities were found to be less related for self-concepts, goals, and interests.[46]

Twin studies have also been important in the creation of the five factor personality model: neuroticism, extraversion, openness, agreeableness, and conscientiousness. Neuroticism and extraversion are the two most widely studied traits. Individuals scoring high in trait extraversion more often display characteristics such as impulsiveness, sociability, and activeness. Individuals scoring high in trait neuroticism are more likely to be moody, anxious, or irritable. Identical twins, however, have higher correlations in personality traits than fraternal twins.[19] One study measuring genetic influence on twins in five different countries found that the correlations for identical twins were .50, while for fraternal they were about .20.[46] It is suggested that heredity and environment interact to determine one's personality.[47][48]

Evolutionary theory

Charles Darwin is the founder of the theory of the evolution of the species. The evolutionary approach to personality psychology is based on this theory.[49] This theory examines how individual personality differences are based on natural selection. Through natural selection organisms change over time through adaptation and selection. Traits are developed and certain genes come into expression based on an organism's environment and how these traits aid in an organism's survival and reproduction.

Polymorphisms, such as sex and blood type, are forms of diversity which evolve to benefit a species as a whole.[50] The theory of evolution has wide-ranging implications on personality psychology. Personality viewed through the lens of evolutionary biology places a great deal of emphasis on specific traits that are most likely to aid in survival and reproduction, such as conscientiousness, sociability, emotional stability, and dominance.[51] The social aspects of personality can be seen through an evolutionary perspective. Specific character traits develop and are selected for because they play an important and complex role in the social hierarchy of organisms. Such characteristics of this social hierarchy include the sharing of important resources, family and mating interactions, and the harm or help organisms can bestow upon one another.[49]

Drive theories

In the 1930s, John Dollard and Neal Elgar Miller met at Yale University, and began an attempt to integrate drives (see Drive theory), into a theory of personality, basing themselves on the work of Clark Hull. They began with the premise that personality could be equated with the habitual responses exhibited by an individual – their habits. From there, they determined that these habitual responses were built on secondary, or acquired drives.

Secondary drives are internal needs directing the behavior of an individual that results from learning.[52] Acquired drives are learned, by and large in the manner described by classical conditioning. When we are in a certain environment and experience a strong response to a stimulus, we internalize cues from the said environment.[52] When we find ourselves in an environment with similar cues, we begin to act in anticipation of a similar stimulus.[52] Thus, we are likely to experience anxiety in an environment with cues similar to one where we have experienced pain or fear – such as the dentist's office.

Secondary drives are built on primary drives, which are biologically driven, and motivate us to act with no prior learning process – such as hunger, thirst or the need for sexual activity. However, secondary drives are thought to represent more specific elaborations of primary drives, behind which the functions of the original primary drive continue to exist.[52] Thus, the primary drives of fear and pain exist behind the acquired drive of anxiety. Secondary drives can be based on multiple primary drives and even in other secondary drives. This is said to give them strength and persistence.[52] Examples include the need for money, which was conceptualized as arising from multiple primary drives such as the drive for food and warmth, as well as from secondary drives such as imitativeness (the drive to do as others do) and anxiety.[52]

Secondary drives vary based on the social conditions under which they were learned – such as culture. Dollard and Miller used the example of food, stating that the primary drive of hunger manifested itself behind the learned secondary drive of an appetite for a specific type of food, which was dependent on the culture of the individual.[52]

Secondary drives are also explicitly social, representing a manner in which we convey our primary drives to others.[53] Indeed, many primary drives are actively repressed by society (such as the sexual drive).[52] Dollard and Miller believed that the acquisition of secondary drives was essential to childhood development.[53] As children develop, they learn not to act on their primary drives, such as hunger but acquire secondary drives through reinforcement.[52] Friedman and Schustack describe an example of such developmental changes, stating that if an infant engaging in an active orientation towards others brings about the fulfillment of primary drives, such as being fed or having their diaper changed, they will develop a secondary drive to pursue similar interactions with others – perhaps leading to an individual being more gregarious.[52][53] Dollard and Miller's belief in the importance of acquired drives led them to reconceive Sigmund Freud's theory of psychosexual development.[53] They found themselves to be in agreement with the timing Freud used but believed that these periods corresponded to the successful learning of certain secondary drives.[53]

Dollard and Miller gave many examples of how secondary drives impact our habitual responses – and by extension our personalities, including anger, social conformity, imitativeness or anxiety, to name a few. In the case of anxiety, Dollard and Miller note that people who generalize the situation in which they experience the anxiety drive will experience anxiety far more than they should.[52] These people are often anxious all the time, and anxiety becomes part of their personality.[52] This example shows how drive theory can have ties with other theories of personality – many of them look at the trait of neuroticism or emotional stability in people, which is strongly linked to anxiety.

Personality tests

There are two major types of personality tests, projective and objective.

Projective tests assume personality is primarily unconscious and assess individuals by how they respond to an ambiguous stimulus, such as an ink blot.[19] Projective tests have been in use for about 60 years and continue to be used today. Examples of such tests include the Rorschach test and the Thematic Apperception Test.

The Rorschach Test involves showing an individual a series of note cards with ambiguous ink blots on them. The individual being tested is asked to provide interpretations of the blots on the cards by stating everything that the ink blot may resemble based on their personal interpretation. The therapist then analyzes their responses. Rules for scoring the test have been covered in manuals that cover a wide variety of characteristics such as content, originality of response, location of "perceived images" and several other factors. Using these specific scoring methods, the therapist will then attempt to relate test responses to attributes of the individual's personality and their unique characteristics.[54] The idea is that unconscious needs will come out in the person's response, e.g. an aggressive person may see images of destruction.[19]

The Thematic Apperception Test (TAT) involves presenting individuals with vague pictures/scenes and asking them to tell a story based on what they see.[19] Common examples of these "scenes" include images that may suggest family relationships or specific situations, such as a father and son or a man and a woman in a bedroom.[55] Responses are analyzed for common themes. Responses unique to an individual are theoretically meant to indicate underlying thoughts, processes, and potentially conflicts present within the individual.[2] Responses are believed to be directly linked to unconscious motives. There is very little empirical evidence available to support these methods.[19][56]

Objective tests assume personality is consciously accessible and that it can be measured by self-report questionnaires.[19] Research on psychological assessment has generally found objective tests to be more valid and reliable than projective tests. Critics have pointed to the Forer effect to suggest some of these appear to be more accurate and discriminating than they really are. Issues with these tests include false reporting because there is no way to tell if an individual is answering a question honestly or accurately.[19]

The Myers-Briggs Type Indicator (also known as the MBTI) is self-reporting questionnaire based on Carl Jung's Psychological Types.[57][13] However, the MBTI modified Jung's theory into their own by disregarding certain processes held in the unconscious mind and the impact these have on personality.[58]

Personality theory assessment criteria

  • Verifiability – the theory should be formulated in such a way that the concepts, suggestions and hypotheses involved in it are defined clearly and unambiguously, and logically related to each other.
  • Heuristic value – to what extent the theory stimulates scientists to conduct further research.
  • Internal consistency – the theory should be free from internal contradictions.
  • Economy – the fewer concepts and assumptions required by the theory to explain any phenomenon, the better it is Hjelle, Larry (1992). Personality Theories: Basic Assumptions, Research, and Applications.

Psychology has traditionally defined personality through its behavioral patterns, and more recently with neuroscientific studies of the brain. In recent years, some psychologists have turned to the study of inner experiences for insight into personality as well as individuality. Inner experiences are the thoughts and feelings to an immediate phenomenon. Another term used to define inner experiences is qualia. Being able to understand inner experiences assists in understanding how humans behave, act, and respond. Defining personality using inner experiences has been expanding due to the fact that solely relying on behavioral principles to explain one's character may seem incomplete. Behavioral methods allow the subject to be observed by an observer, whereas with inner experiences the subject is its own observer.[59][60]

Methods measuring inner experience

Descriptive experience sampling (DES): Developed by psychologist Russel Hurlburt. This is an idiographic method that is used to help examine inner experiences. This method relies on an introspective technique that allows an individual's inner experiences and characteristics to be described and measured. A beep notifies the subject to record their experience at that exact moment and 24 hours later an interview is given based on all the experiences recorded. DES has been used in subjects that have been diagnosed with schizophrenia and depression. It has also been crucial to studying the inner experiences of those who have been diagnosed with common psychiatric diseases.[60][61][62]

Articulated thoughts in stimulated situations (ATSS): ATSS is a paradigm which was created as an alternative to the TA (think aloud) method. This method assumes that people have continuous internal dialogues that can be naturally attended to. ATSS also assesses a person's inner thoughts as they verbalize their cognitions. In this procedure, subjects listen to a scenario via a video or audio player and are asked to imagine that they are in that specific situation. Later, they are asked to articulate their thoughts as they occur in reaction to the playing scenario. This method is useful in studying emotional experience given that the scenarios used can influence specific emotions. Most importantly, the method has contributed to the study of personality. In a study conducted by Rayburn and Davison (2002), subjects' thoughts and empathy toward anti-gay hate crimes were evaluated. The researchers found that participants showed more aggressive intentions towards the offender in scenarios which mimicked hate crimes.[60]

Experimental method: This method is an experimental paradigm used to study human experiences involved in the studies of sensation and perception, learning and memory, motivation, and biological psychology. The experimental psychologist usually deals with intact organisms although studies are often conducted with organisms modified by surgery, radiation, drug treatment, or long-standing deprivations of various kinds or with organisms that naturally present organic abnormalities or emotional disorders. Economists and psychologists have developed a variety of experimental methodologies to elicit and assess individual attitudes where each emotion differs for each individual. The results are then gathered and quantified to conclude if specific experiences have any common factors. This method is used to seek clarity of the experience and remove any biases to help understand the meaning behind the experience to see if it can be generalized.[59] The experimental method does have some complications though. If researchers are manipulating a variable, it's possible this change will affect a different variable, which in turn will change the measured result (not the original manipulated condition), introducing uncertainty. This method, in personality research, often requires deception, so the ethics of experiments are also brought into question.

See also

References

  1. Friedman, Howard; Schustack, Miriam (2016). Personality: Classic theories and modern research. USA: Pearson. ISBN 978-0-205-99793-0.
  2. 1 2 3 Roberts, Brent W.; Yoon, Hee J. (January 2022). "Personality Psychology". Annual Review of Psychology. 73: 489–516. doi:10.1146/annurev-psych-020821-114927 via Annual Reviews.
  3. Winnie, J.F. & Gittinger, J.W. (1973) An introduction to the personality assessment system. Journal of Clinical Psychology, Monograph Supplement, 38,1=68
  4. Krauskopf, C.J. & Saunders, D.R, (1994) Personality and Ability: The Personality Assessment System. University Press of America, Lanham, Maryland
  5. 1 2 3 4 5 6 Engler, Barbara (2008). Personality theories : an introduction (8th ed.). Boston, MA: Houghton Mifflin. ISBN 9780547148342.
  6. Fleeson, W. (2004). "Moving personality beyond the person-situation debate: The challenge and the opportunity of within-person variability". Current Directions in Psychological Science. 13 (2): 83–87. doi:10.1111/j.0963-7214.2004.00280.x. S2CID 32537319.
  7. Zayas, V; Shoda Y (2009). "Three decades after the personality paradox: Understanding situations". Journal of Research in Personality. 43 (2): 280–281. doi:10.1016/j.jrp.2009.03.011.
  8. Tapu, C.S. (2001). Hypostatic personality: psychopathology of doing and being made. Premier. pp. 28–31. ISBN 978-9738030596.
  9. Cartwright, Desmond (1979). Theories and Models of Personality (I ed.). Debuque, Iowa: Wm. C. Brown Company Publishers. p. 178. ISBN 978-0-697-06624-4.
  10. Sharp, Daryl (1987). Personality types: Jung's model of typology. Toronto, Canada: Inner City Books. p. 128. ISBN 978-0919123304.
  11. Bradberry, T (2009). Self-Awareness. Penguin. ISBN 978-1101148679.
  12. 1 2 3 Myers, Isabel Briggs with Peter B. Myers (1995) [1980]. Gifts Differing: Understanding Personality Type. Mountain View, California: Davies-Black Publishing. ISBN 978-0-89106-074-1.
  13. 1 2 Stein, Randy; Swan, Alexander B. (February 2019). "Evaluating the validity of Myers-Briggs Type Indicator theory: A teaching tool and window into intuitive psychology". Social and Personality Psychology Compass. 13 (2): e12434. doi:10.1111/spc3.12434. S2CID 150132771.
  14. Please Understand Me II: Temperament, Character, Intelligence (1st ed.). Prometheus Nemesis Book Co. May 1, 1998. ISBN 978-1-885705-02-0.
  15. Pittenger, David J. (November 1993). "Measuring the MBTI. . .And Coming Up Short" (PDF). Journal of Career Planning and Employment. 54 (1): 48–52. Archived from the original (PDF) on 2006-12-06. Retrieved 2008-12-25.
  16. Myers, Isabel Briggs; Mary H. McCaulley (1985). Manual: A Guide to the Development and Use of the Myers-Briggs Type Indicator (2nd ed.). Palo Alto, California: Consulting Psychologists Press. p. 8. ISBN 978-0-89106-027-7.
  17. Kahn, Michael (2002). Basic Freud : psychoanalytic thought for the twenty first century (1. paperback ed.). New York: Basic Books. ISBN 9780465037162.
  18. 1 2 3 Carver, C., & Scheier, M. (2004). Perspectives on Personality (5th ed.). Boston: Pearson.
  19. 1 2 3 4 5 6 7 8 9 10 11 12 Spielman, Rose M.; Jenkins, William J.; Lovett, Marilyn D. (2020). Psychology 2e. Open Stax.
  20. Carlson, Jon; Englar-Carlson, Matt (January 2017). Adlerian Psychotherapy (PDF). American Psychological Association. pp. 1–9. ISBN 978-1-4338-2659-7.
  21. 1 2 3 Cheney, W. David Pierce, Carl D. (2008). Behavior analysis and learning (4th ed.). New York, NY: Psychology Press. ISBN 9780805862607.{{cite book}}: CS1 maint: multiple names: authors list (link)
  22. Baron, J. (1982). "Intelligence and Personality." In R. Sternberg (Ed.). Handbook of Intelligence. Cambridge: Cambridge University Press.
  23. Abramson, Lyn Y.; Seligman, Martin E. P.; Teasdale, John D. (1978). "Learned helplessness in humans: Critique and reformulation". Journal of Abnormal Psychology. 87 (1): 49–74. doi:10.1037/0021-843X.87.1.49. PMID 649856. S2CID 2845204.
  24. Wallston et al., 1978
  25. Peterson et al., 1982
  26. Peterson & Villanova, 1988
  27. Gong-guy & Hammen, 1990
  28. Norman & Antaki, 1988
  29. Anderson, 1988
  30. 1 2 Whyte, Cassandra Bolyard (1978). "Effective Counseling Methods for High-Risk College Freshmen". Measurement and Evaluation in Guidance. 10 (4): 198–200. doi:10.1080/00256307.1978.12022132.
  31. 1 2 Lauridsen Kurt (ed) and Whyte, Cassandra B. (1985) An Integrated Counseling and Learning Assistance Center-Chapter for New Directions Sourcebook. Jossey-Bass, Inc
  32. Whyte, Cassandra; Whyte, William R. (1982). "Accelerated Programs Behind Prison Walls". College Student Journal. 16 (1): 70–74.
  33. Epstein, Seymour; In: Handbook of psychology: Personality and social psychology, Vol. 5. Millon, Theodore (Ed.); Lerner, Melvin J. (Ed.); Hoboken, NJ, US: John Wiley & Sons Inc, 2003. pp. 159-184. [Chapter]
  34. Furnham, Adrian; Tsivrikos, Dimitrios (2016-09-26). All in the Mind: Psychology for the Curious. John Wiley & Sons. ISBN 978-1-119-16161-5.
  35. Kelly, George A. (1980). Theory of Personality : the psychology of personal constructs (1. publ. in ... pbk. ed.). New York [u.a.]: Norton. ISBN 978-0393001525.
  36. Stefaroi, P. (2015). Humanistic Personology: A Humanistic-Ontological Theory of the Person & Personality. Applications in Therapy, Social Work, Education, Management and Art (Theatre). Charleston SC, USA: CreateSpace.
  37. Combs, Arthur W., and Snygg, Donald.  : A New Frame of Reference for Psychology. New York, Harper and Brothers. Article on Snygg and Combs' Phenomenological Field Theory
  38. Watt, Robert W. White; Norman F. (1981). The abnormal personality (5th ed.). New York: John Wiley & Sons. ISBN 978-0-471-04599-1.{{cite book}}: CS1 maint: multiple names: authors list (link)
  39. Maslow, Abraham H. (1999). Toward a Psychology of Being (3. ed.). New York [u.a.]: Wiley. ISBN 978-0-471-29309-5.
  40. Plomin, R., DeFries, J.C., McClearn, G.E., & Rutter, M. (1997). Behavioral genetics (3rd Ed.). New York: Freeman.
  41. Damasio H; Grabowski T; Frank R.; Galaburda AM; Damasio AR (1994). "The return of Phineas Gage: clues about the brain from the skull of a famous patient". Science. 264 (5162): 1102–1105. Bibcode:1994Sci...264.1102D. doi:10.1126/science.8178168. PMID 8178168. S2CID 206630865.
  42. Macmillan, M. (2000). "Chs. 6,13,14". An Odd Kind of Fame: Stories of Phineas Gage. MIT Press. ISBN 978-0-262-13363-0.
  43. Macmillan, M. (2008). "Phineas Gage – Unravelling the myth". The Psychologist. 21 (9): 828–831.
  44. Gazzaniga, M.S., & Heatherton, T.F. (2006). Psychological science: Mind, brain, and behavior (2nd ed.). New York: Norton.
  45. Marcus, G. (2004). The birth of the mind. New York: Basic Books.
  46. 1 2 Loehlin, J.C., & Nichols, R.C. (1976). Hereditary, environment, and personality: A study of 850 sets of twins. Austin: University of Texas Press
  47. Goldberg, L.R. (1990). "An alternative "description of personality": The Big-Five factor structure". Journal of Personality and Social Psychology. 59 (6): 1216–1229. doi:10.1037/0022-3514.59.6.1216. PMID 2283588. S2CID 9034636.
  48. Jeronimus, B.F.; Riese, H.; Sanderman, R.; Ormel, J. (2014). "Mutual Reinforcement Between Neuroticism and Life Experiences: A Five-Wave, 16-Year Study to Test Reciprocal Causation". Journal of Personality and Social Psychology. 107 (4): 751–64. doi:10.1037/a0037009. PMID 25111305.
  49. 1 2 Buss, D.M. (1991). "Evolutionary personality psychology". Annual Review of Psychology. 42: 459–491. doi:10.1146/annurev.psych.42.1.459. PMID 2018400.
  50. Ford E.B. 1965. Genetic polymorphism. Faber & Faber, London.
  51. Kenrick, D.T.; Sadalla, E.K.; Groth, G.; Trost, M.R. (1990). "Evolution, traits, and the stages of human courtship: Qualifying the parental investment model". Journal of Personality. 58 (1): 97–116. doi:10.1111/j.1467-6494.1990.tb00909.x. PMID 23750377.
  52. 1 2 3 4 5 6 7 8 9 10 11 12 Dollard, John; Miller, Neil (1941). Social Learning and Imitation (Tenth ed.). New Haven, London: Yale University Press.
  53. 1 2 3 4 5 Friedman, Howard.S.; Schustack, Miriam.W. (2015). Personality: Classic Theories and Modern Research (Sixth ed.). Pearson. ISBN 978-0205997930.
  54. Exner, J.E. (1993). The Rorschach: A comprehensive system, Vol. 1: Basic foundations (3rd ed.). New York: Wiley
  55. Bellak, L., & Abrams, D.M. (1997). The Thematic Apperception Test, the Children's Apperception Test, and the Senior Apperception Technique in clinical use (6th ed.). Boston: Allyn & Bacon.
  56. Watkins, C.E.; Campbell, V.L.; Nieberding, R.; Hallmark, R. (1995). "Contemporary practice of psychological assessment by clinical psychologists". Professional Psychology: Research and Practice. 26: 54–60. doi:10.1037/0735-7028.26.1.54.
  57. "The Myers & Briggs Foundation - MBTI® Basics". www.myersbriggs.org. Retrieved 2018-02-10.
  58. Pittenger, David J. (December 1993). "The Utility of the Myers-Briggs Type Indicator". Review of Educational Research. 63 (4): 467–488. doi:10.3102/00346543063004467. ISSN 0034-6543. S2CID 145472043.
  59. 1 2 Price, Donald D.; Barrell, James J. (2012). Inner experience and neuroscience : merging both perspectives. Cambridge, Mass.: MIT Press. ISBN 9780262017657.
  60. 1 2 3 Mihelic, Janell. "Exploring the phenomena of inner experience with descriptive experience sampling". UNLV Theses/Dissertations/Professional Papers/Capstones.
  61. Hoffman, Jascha (December 21, 2009). "Taking Mental Snapshots to Plumb Our Inner Selves". New York Times. Retrieved 3 April 2011.
  62. Hurlburt, Russell (2009). "Iteratively Apprehending Pristine Experience" (PDF). Journal of Consciousness Studies. 16: 156–188.

Further reading

This article is issued from Wikipedia. The text is licensed under Creative Commons - Attribution - Sharealike. Additional terms may apply for the media files.